Zur Startseite gehen
Über uns Service Kontakt
Login
Profile
Warenkorb 0
Warenkorb
03.04.2026
  • Physik
    Alle Produkte anzeigen
    Phänomene
    Elektrik - Elektronik
    Bausätze
    Elektro-Bausteine
    Elektrostatik
    Elektromagnetismus
    Stromversorgung
    Generatoren - Motoren
    Messgeräte
    Kabel
    Drähte
    Stecker - Buchsen
    Lampen - Fassungen
    Sicherungen
    Werkzeuge
    Zubehör
    Diverse Themen
    Mechanik
    Statik und Dynamik
    Mechanik der Flüssigkeiten und Gase
    Aerodynamik
    Schwingungen und Wellen
    Akustik
    Magnetismus
    Magnete
    Diverses Magnetismus
    Optik
    Wärmelehre
    Energien
    Dampfmaschinen
    Solar
    Wetter
    Astronomie
    Kernphysik - Modelle
    Kernphysik
    Modelle - Gitter
    Nanotechnik
    Messgeräte
    Universalmessgeräte
    Sensorengeräte
    Ultraschall
    Waagen - Kraftmesser
    Elektronische Waagen
    Mechanische Waagen
    Thermometer
    Diverse Messgeräte
    Sicherheit
    Erste Hilfe
    Schutzmaterial
    Markierungen
    Aufbewahrung
    Stativmaterial Physik
    Diverse Physik
    Medien Physik
    Robotik
    MINDSTORMS EV3
    SPIKE Prime
    WeDo 2.0
    LEGO NTX
    Haben Sie Fragen?

    Haben Sie Fragen?

    Produkt-Kataloge

    Produkt - Kataloge

    Tipps

    Tipps

    Labor-TV

    Labor-TV

  • Chemie
    Alle Produkte anzeigen
    Chemikalien
    Schnelltests
    pH-Indikatoren
    Diverse Schnelltests
    Glaswaren - Hilfsmittel
    Reagenzgläser - Zubehör
    Stopfen
    Bürsten
    Filterpapier
    Bechergläser - Messbecher
    Mess-/ Steh-/ Rundkolben und Zubehör
    Mess-/ Standzylinder
    Erlenmeyer
    Abdampf-/ Kristallierschalen
    Uhrgläser - Petrischalen
    Pipetten - Zubehör
    Trichter
    Spatel - Löffel - Rührstäbe
    Mörser - Pistille - Tiegel
    Schalen - Wannen
    Schläuche - Verbindungen - Zubehör
    Diverse Glaswaren - Hilfsmittel
    Laborausstattung
    Filterabzüge
    Magnetrührer
    Brenner
    Stativmaterial Chemie
    Diverse Laborausstattung
    Elektrochemie
    Galvanik
    Elektrolyse
    Messgeräte
    Elektronische Waagen
    Thermometer
    Sensorengeräte
    Diverse Messgeräte
    Modelle - Gitter
    Periodensystem
    Sicherheit
    Erste Hilfe
    Markierungen
    Schutzmaterial
    Aufbewahrung
    Behälter
    Entsorgung
    Gebinde
    Gebinde Glas
    Gebinde Kunststoff
    Diverses Chemie
    Medien Chemie
    Haben Sie Fragen?

    Haben Sie Fragen?

    Produkt-Kataloge

    Produkt - Kataloge

    Tipps

    Tipps

    Labor-TV

    Labor-TV

  • Biologie
    Alle Produkte anzeigen
    Anatomie
    Anatomie - Knochen
    Beckenmodelle
    Einzelknochen
    Extremitäten
    Schädelmodelle
    Skelettmodelle
    Wirbelsäulenmodelle
    Organe - Strukturen
    Akupunkturmodelle
    Atmungsmodelle
    Augenmodelle
    Ohrenmodelle
    Kreislaufsystem
    Kopfmodelle
    Gehirn - Nerven
    Torsen
    Muskelmodelle
    Zahnmodelle
    Haut-/ Haar-/ Nagelmodelle
    Verdauung
    Lebermodelle
    Nierenmodelle
    Harnapparat
    Fortpflanzungsorgane
    Schwangerschaft
    Medizin
    Physiologie
    Sezieren
    Diverse Physiologie
    Prävention
    Zoologie
    Zoologie-Modelle
    Diverse Zoologie
    Botanik
    Geologie
    Mikrobiologie
    Schnelltests
    Bluttests
    pH-Indikatoren
    Diverse Schnelltests
    Mikroskopie
    Mikroskope
    Stereomikroskope
    Lupen
    Präparate - Präparieren
    Präparate
    Präparieren
    Zubehör
    Kameras
    Objektive - Okulare
    Leuchtmittel
    Diverses Zubehör
    DNA - Zellen
    Diverse Biologie
    Medien Biologie
    Haben Sie Fragen?

    Haben Sie Fragen?

    Produkt-Kataloge

    Produkt - Kataloge

    Tipps

    Tipps

    Labor-TV

    Labor-TV

  • Geografie
  • Mathematik
    Alle Produkte anzeigen
    Modelle - Füllkörper
    Medien Mathematik
    Haben Sie Fragen?

    Haben Sie Fragen?

    Produkt-Kataloge

    Produkt - Kataloge

    Tipps

    Tipps

    Labor-TV

    Labor-TV

  • Medien
    Alle Produkte anzeigen
    Didaktische DVD`s
    interaktive Tafelbilder
    Wandbilder
    Lehrfilme
    Lehrmittel - Anleitungen
    Haben Sie Fragen?

    Haben Sie Fragen?

    Produkt-Kataloge

    Produkt - Kataloge

    Tipps

    Tipps

    Labor-TV

    Labor-TV

  • 1.-2. Zyklus
    Alle Produkte anzeigen
    Physik
    Biologie
    Labor
    Messen
    Rollenspiele
    Haben Sie Fragen?

    Haben Sie Fragen?

    Produkt-Kataloge

    Produkt - Kataloge

    Tipps

    Tipps

    Labor-TV

    Labor-TV

  • Lehrmittel
    Alle Produkte anzeigen
    NaTech 1-6
    Stoffe
    Technik
    Sinne
    Körper
    Vielfalt
    Energie
    Magnetismus - Elektrizität
    Wetter und Himmelskörper
    Identität
    Entwicklung
    NaTech 7-9
    NaTech 7
    Kapitel 1
    OM 1.1
    AM 1.2
    AM 1.3
    AM 1.5
    AM 1.6
    AM 1.7
    AM 1.8
    AM 1.9
    Kapitel 2
    AM 2.1
    OM 2.3
    AM 2.4
    GB 2.4
    AM 2.7
    AM 2.8
    AM 2.9
    AM 2.10
    AM 2.11
    OM 2.13
    AM 2.16
    Kapitel 3
    AM 3.1
    AM 3.2
    AM 3.4
    AM 3.5
    AM 3.6
    AM 3.7
    AM 3.11
    AM 3.12
    Kapitel 4
    AM 4.2
    OM 4.2
    AM 4.4
    AM 4.3
    Kapitel 5
    OM 5.2
    AM 5.3
    OM 5.3
    OM 5.4
    OM 5.5
    OM 5.6
    AM 5.8
    AM 5.12
    Kapitel 6
    AM 6.1
    AM 6.3
    DM 6.3
    OM 6.3
    AM 6.4
    DM 6.4
    OM 6.4
    AM 6.5
    DM 6.5
    AM 6.6
    DM 6.6
    AM 6.7
    DM 6.7
    OM 6.7
    OM 6.8
    AM 6.9
    AM 6.10
    DM 6.10
    OM 6.11
    AM 6.11
    AM 6.12
    AM 6.16
    Kapitel 7
    AM 7.2
    OM 7.2
    OM 7.3
    AM 7.4
    OM 7.4
    AM 7.5
    NaTech 8
    Kapitel 1
    OM 1.1
    AM 1.3
    AM 1.4
    AM 1.8
    AM 1.9
    OM 1.9
    AM 1.10
    AM 1.11
    OM 1.11
    Kapitel 2
    AM 2.3
    AM 2.5
    OM 2.8
    OM 2.9
    OM 2.10
    OM 2.12
    OM 2.13
    OM 2.14
    OM 2.15
    Kapitel 3
    AM 3.1
    AM 3.2
    AM 3.3
    DM 3.3
    OM 3.3
    AM 3.4
    AM 3.5
    AM 3.6
    AM 3.7
    AM 3.9
    Kapitel 4
    AM 4.1
    OM 4.1
    AM 4.2
    AM 4.3
    AM 4.4
    DM 4.4
    AM 4.5
    DM 4.5
    OM 4.6
    AM 4.7
    DM 4.7
    OM 4.7
    AM 4.8
    OM 4.8
    AM 4.10
    AM 4.11
    AM 4.12
    AM 4.13
    AM 4.14
    Posten K4
    Kapitel 5
    AM 5.1
    AM 5.2
    OM 5.2
    AM 5.3
    AM 5.4
    OM 5.4
    AM 5.6
    AM 5.10
    OM 5.10
    AM 5.11
    AM 5.14
    NaTech 9
    Kapitel 1
    AM 1.1
    GB 1.1
    OM 1.2
    OM 1.3
    AM 1.5
    AM 1.6
    GB 1.6
    KO 1.6
    AM 1.7
    OM 1.7
    AM 1.8
    OM 1.10
    OM 1.13
    OM 1.15
    OM 1.16
    Kapitel 2
    AM 2.2
    AM 2.3
    AM 2.5
    OM 2.5
    AM 2.7
    AM 2.9
    OM 2.7
    AM 2.11
    Kapitel 3
    AM 3.1
    AM 3.2
    AM 3.3
    AM 3.4
    OM 3.5
    AM 3.6
    OM 3.6
    AM 3.8
    AM 3.9
    AM 3.10
    AM 3.11
    Kapitel 4
    OM 4.6
    AM 4.8
    Kapitel 5
    OM 5.1
    AM 5.2
    OM 5.2
    AM 5.3
    Kapitel 6
    GB 6.1
    AM 6.6
    OM 6.6
    AM 6.7
    Kapitel 7
    OM 7.1
    AM 7.4
    OM 7.5
    OM 7.6
    OM 7.8
    OM 7.9
    OM 7.11
    OM 7.12
    OM 7.13
    OM 7.14
    OM 7.16
    Kapitel 8
    AM 8.3
    AM 8.5
    AM 8.6
    Themensätze
    Haben Sie Fragen?

    Haben Sie Fragen?

    Produkt-Kataloge

    Produkt - Kataloge

    Tipps

    Tipps

    Labor-TV

    Labor-TV

  • SALE
Kategorien
  • Physik
  • Chemie
  • Biologie
  • Geografie
  • Mathematik
  • Medien
  • 1.-2. Zyklus
  • Lehrmittel
  • SALE
  • Über uns
  • Kontakt
Haben Sie Fragen?

Haben Sie Fragen?

Produkt-Kataloge

Produkt - Kataloge

Tipps

Tipps

Labor-TV

Labor-TV

Zurück
Biologie
Schnelltests
Bluttests
  • Physik
  • Chemie
  • Alle Produkte
    • Anatomie
    • Medizin
    • Physiologie
    • Prävention
    • Zoologie
    • Botanik
    • Geologie
    • Mikrobiologie
    • Schnelltests Alle Produkte
      • Bluttests
      • pH-Indikatoren
      • Diverse Schnelltests
    • Mikroskopie
    • DNA - Zellen
    • Diverse Biologie
    • Medien Biologie
  • Geografie
  • Mathematik
  • Medien
  • 1.-2. Zyklus
  • Lehrmittel
  • SALE

Produkte filtern

–

Bluttests

15 Produkte gefunden:
Sortierung:
Grid display
List display
3B SCIENTIFIC Experimentiersatz Simulierter HIV/AIDS-test (W598411)

239.00 CHF 

3B SCIENTIFIC Experimentiersatz Simulierter HIV/AIDS-test (W598411)

Art. 3B1022339
An Lager verfügbar
Alkoholtupfer zur Desinfektion, 100Stück

6.80 CHF 

Alkoholtupfer zur Desinfektion, 100Stück

Art. SB2710
An Lager verfügbar
Amöben, Mikropräparat

16.30 CHF 

Amöben, Mikropräparat

Art. LIPr112e
An Lager verfügbar
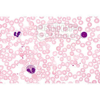
Blutausstrich vom Menschen, Mikropräparat

13.80 CHF 

Blutausstrich vom Menschen, Mikropräparat

Art. LICMA190c
An Lager verfügbar
Preishit
ELDON-ABO-Kit, 30 Blutgruppentest

125.00 CHF 

ELDON-ABO-Kit, 30 Blutgruppentest

Art. SB2750
An Lager verfügbar
ELDON-Karten allein, 25Stk.

69.90 CHF 

ELDON-Karten allein, 25Stk.

Art. SB2750.2
An Lager verfügbar
ELDON-Sticks, 40Stk. (Rührkämme)

6.00 CHF 

ELDON-Sticks, 40Stk. (Rührkämme)

Art. KJ110107
An Lager verfügbar
ELDON-Sticks, Kunststoff, weiss, 200Stk.

22.90 CHF 

ELDON-Sticks, Kunststoff, weiss, 200Stk.

Art. SB2750.3
An Lager verfügbar
Impföse mit Glasgriff, L=ca. 100mm, Öse D=3-4mm, Drahtstärke ca. 0,5mm

Ab 2.90 CHF 

Impföse mit Glasgriff, L=ca. 100mm, Öse D=3-4mm, Drahtstärke ca. 0,5mm

Art. ASS36
An Lager verfügbar
Details
Künstliches Blut mit Rhesus Kit de Luxe

165.00 CHF 

Künstliches Blut mit Rhesus Kit de Luxe

Art. KJ110100
An Lager verfügbar
Künstliches Blut ohne Rhesus

89.90 CHF 

Künstliches Blut ohne Rhesus

Art. KJ110102
An Lager verfügbar
Mikropräparateserie: Histologie Blut, 10 Präparate

134.00 CHF 

Mikropräparateserie: Histologie Blut, 10 Präparate

Art. LI72200
An Lager verfügbar
Nachfüllpackung mit Rhesusfaktor zu KJ110100

97.90 CHF 

Nachfüllpackung mit Rhesusfaktor zu KJ110100

Art. KJ110101
An Lager verfügbar
solange Vorrat
Sicherheits-Blutlanzette alphacheck comfort, 23G, für Einmalgebrauch, 100 Stück

19.90 CHF 

Sicherheits-Blutlanzette alphacheck comfort, 23G, für Einmalgebrauch, 100 Stück

Art. AI330415
An Lager verfügbar
solange Vorrat
Sicherheits-Blutlanzette alphacheck comfort, 28G, für Einmalgebrauch, 100 Stück

19.90 CHF 

Sicherheits-Blutlanzette alphacheck comfort, 28G, für Einmalgebrauch, 100 Stück

Art. AI330421
An Lager verfügbar
manufacturer.name
manufacturer.name
manufacturer.name
manufacturer.name
manufacturer.name
manufacturer.name
manufacturer.name
manufacturer.name
manufacturer.name
manufacturer.name
manufacturer.name
manufacturer.name
manufacturer.name
manufacturer.name
manufacturer.name
Zur Startseite gehen
  • Instagram
  • Kontakt
  • Impressum
  • AGB
  • Datenschutz

Bachmann Lehrmittel AG

Lenzbüel 15, 8370 Sirnach

info@bachmann-lehrmittel.ch

071 912 19 10

Öffnungszeiten:

Montag bis Freitag

7.30 Uhr bis 11.30 Uhr

13.30 Uhr bis 17.30 Uhr

Freitag bis 17.00 Uhr

Diese Website verwendet Cookies, um eine bestmögliche Erfahrung bieten zu können. Mehr Informationen ...